Cabinet dentaire du Dr ROUSSEAU
Chirurgien Dentiste à Conflans Ste Honorine
20 Place de la Liberté, 78700 Conflans Ste Honorine
+33 1 39 19 53 79
Cabinet dentaire du Dr ROUSSEAU
Chirurgien Dentiste à Conflans Ste Honorine

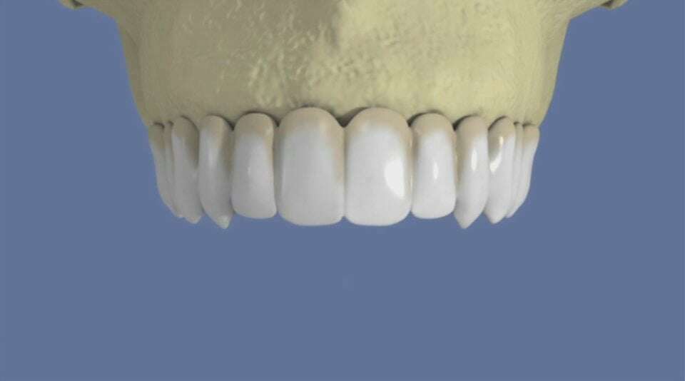
Maxillaire : bridge vissé sans fausse gencive


video-play-icon

Articles similaires